
Брейкдансер танцював га голові приблизно від двох до семи хвилин п’ять разів на тиждень. Згодом він помітив шишку, а за останні 5 років вона зросла в розмірах і почала боліти.
У 30-річного брейкдансера, який близько 19 років займався цим видом танцю і полюбляв крутитися на маківці, з’явилися проблеми. Він заробив собі наріст на голові і втратив на цьому місці волосся. Про це повідомляє повідомляє Оdditycentral.
Як зазначає видання, за твердженням медиків, обертання на голові під час тренування з брейкдансу може спричинити появу безволосих шишок. Ці неестетичні опуклості, також відомі серед танцюристів брейкдансу як “шпильки” і можуть час від часу боліти.
Так, у нещодавно задокументованому випадку 30-річний пацієнт, який протягом останніх 19 років включав обертання на голові як частину свого тренування з брейк-дансу, повідомив, що робив цю вправу приблизно від двох до семи хвилин приблизно п’ять разів на тиждень. Нещодавно він помітив шишку, але сказав лікарям, що за останні п’ять років вона стала більшою та чутливою на дотик.
“Наявність ураження та пов’язаний з ним дискомфорт викликали естетичний дискомфорт у пацієнта, але опуклість не заважала пацієнту продовжувати свою карколомну діяльність”, — зазначили лікарі чоловіка.

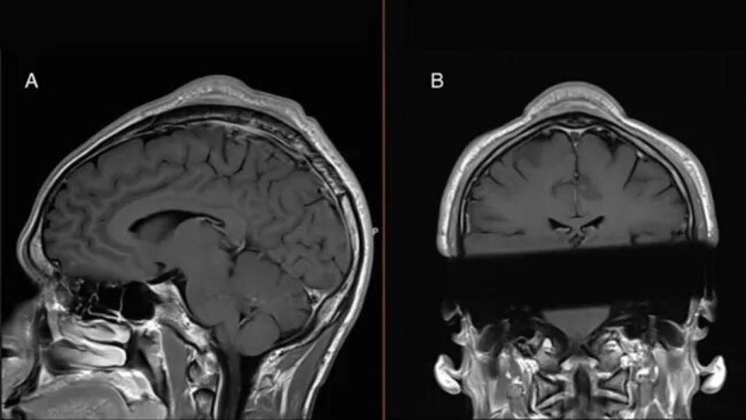
Медики дослідили опуклість і провели структурне сканування черепа та встановили, що між шкірою та черепом була затиснута м’яка маса, а також те, що шкіра над пухлиною та кістка під нею були значно товщі, ніж тканини, що оточують череп.
Вони вирішили видалити утворення хірургічним шляхом, а також поголити шкіру голови чоловіка до рівня тканин навколо неї.
Цей випадок непоодинокий і такі проблеми мають чимало брейкдансерів. У медицині його називають “синдромом надмірного використання брейкдансу”. Свого часу в Німеччині проводили дослідження, яке показало, що зі 100 опитаних брейкдансистів у 31% випало волосся, у 24% з’явилися безболісні шишки на голові, а у 37 з них було запалення шкіри голови.
Фахівці прийшли до висновку, що крутіння на голові більше трьох разів на тиждень, навіть протягом лише кількох хвилин, супроводжується високим ризиком втрати волосся порівняно з рідшим практикуванням рухів.
Цей матеріал має виключно інформаційний характер і не містить порад, які можуть вплинути на ваше здоров’я. Якщо у вас є проблеми, зверніться до фахівця.

4176